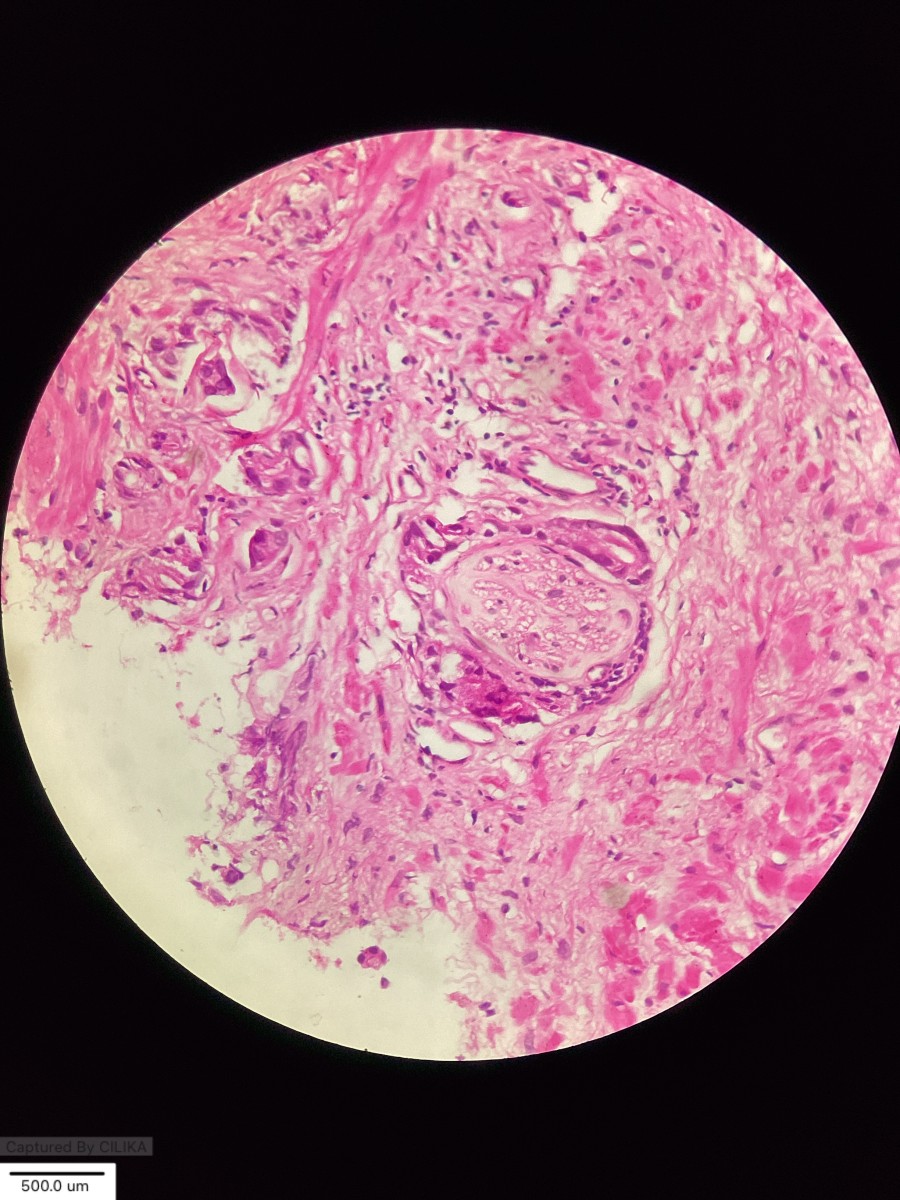
Perineural invasion is when Tumor’s cells decide that the bloodstream and lymphatics are just too mainstream - so they take the scenic nerve route instead! 🤕 They wrap around or slip between nerve fibres like uninvited guests at a neural party, spreading stealthily and often bringing pain or tingling as souvenirs. For the pathologists, spotting it under the microscope is both exciting and ominous - because once cancer starts “ NERVE-SURFING”, it usually means a more aggressive behaviour. In short, “Why crawl when you can nerve-igate your way through?”🧠

Comments (24)
Unknown
October 31, 2025Really? ------ https://chatterchat.com/findycarno
Unknown
October 31, 2025It is remarkable, it is very valuable answer ------ https://hosting.estate/website-design/439-how-to-resize-an-image-in-photoshop-and-gimp.html
Unknown
October 31, 2025It not absolutely that is necessary for me. There are other variants? ------ https://xenforo.be/threads/planning-a-weekend-trip.126598/
Unknown
October 31, 2025Very useful question ------ https://xtd.ru/tags/%D0%BA%D0%BE%D0%BC%D0%B0%D0%BD%D0%B4%D1%8B%20ffmpeg/
Unknown
October 31, 2025In it something is also to me it seems it is excellent idea. I agree with you. ------ https://the.hosting/sv/help/redaktirovanie-fajla-sluzhby
Unknown
October 31, 2025<a href=https://european-sailing.com/es/alquiler-de-yates-en-espana>alquiler de barcos en la costa brava</a>
Unknown
October 31, 2025https://unlimboost.com/audi/a3/2008-2012/2-0-tdi-140-%d0%bb%d1%81
Unknown
October 31, 2025The foreshadowing of the bombing keeps the tension high. Follow the countdown in The Book Thief PDF. It creates a sense of dread that drives the narrative forward, ensuring that you cannot stop reading until you reach the inevitable conclusion.
Unknown
October 31, 2025Every book lover needs to experience this story about the love of books themselves. If you need a portable version, The Book Thief PDF is the ideal solution. It captures the essence of a time when paper and ink were dangerous, yet absolutely essential for survival. https://thebookthiefpdf.site/ The Book Thief Play Scholastic Pdf
Unknown
October 31, 2025The final scene of the spinning feet is iconic. The Brave New World PDF preserves this haunting imagery. It is a cinematic ending to a novel that is full of visual power. https://bravenewworldpdf.site/ Brave New World .Pdf
Unknown
October 31, 2025The legacy of Twisted Love is evident in its massive fan base. It has touched the hearts of millions. Finding a Twisted Love PDF allows you to join this global conversation. The story of Alex and Ava is universal in its themes of love and healing. It is a book that connects people through shared emotion. https://twistedlovepdf.site/ Twisted Love Pdf Ita
Unknown
October 31, 2025There is a sophisticated edge to the storytelling that elevates it above standard fare. The corporate intrigue provides a cool backdrop to the hot romance. If you like smart characters, look for the Twisted Love PDF. The book assumes the reader is intelligent and pays attention. It is a sharp, slick, and sexy novel. https://twistedlovepdf.site/ Twisted Love Download Vk Free Pdf
Unknown
October 31, 2025The final pages of the book leave you with a smile on your face and a desire for the next book. The setup for the rest of the series is clever. If you read the Twisted Love PDF, you will likely be looking for the sequels immediately. The story of Alex and Ava is complete, but the world continues. It is the perfect start to a binge-worthy series. https://twistedlovepdf.site/ Twisted Love Filetype:pdf
Unknown
October 31, 2025Ultimately, Twisted Love is about two people finding their missing piece. It is a satisfying, complete narrative. The Twisted Love PDF is your ticket to this emotional fulfillment. The story of Alex and Ava is a testament to the enduring power of the romance genre. It is a book that will make you believe in love. https://twistedlovepdf.site/ Twisted Love Ana Huang Series Epub
Unknown
October 31, 2025Ultimately, Twisted Love is about two people finding their missing piece. It is a satisfying, complete narrative. The Twisted Love PDF is your ticket to this emotional fulfillment. The story of Alex and Ava is a testament to the enduring power of the romance genre. It is a book that will make you believe in love.
Unknown
October 31, 2025The trope of the overprotective hero is executed perfectly in this novel. Alex monitors Ava's safety with an intensity that borders on obsession, but it comes from a place of deep care. Fans of the genre often look for the Twisted Love PDF to re-read their favorite scenes. The narrative arc is satisfying, taking the characters from a place of isolation to one of connection. It is a gritty, modern fairy tale where the prince is a villain to everyone but the princess.
Unknown
October 31, 2025I congratulate, what excellent message. --------- https://avenue18.ru/
Unknown
October 31, 2025https://moldovalive.md/technical-attack-public-discrediting-and-isolation-the-story-of-an-it-company-from-moldova-pushed-out-of-the-european-market/
Unknown
October 31, 2025https://colombocar.com/
Unknown
October 31, 2025<a href=https://drivelity-spain.com/car-rental-girona-spain>car hire girona airport</a>
Unknown
October 31, 2025<a href=https://drivelity-italy.com/car-rental-palermo-italy>best car hire palermo airport</a>
Unknown
October 31, 2025<a href=https://drivelity-morocco.com/car-rental-errachidia-morocco>car rental errachidia without credit card</a>
Unknown
October 31, 2025https://velog.io/@garcia/rentt
Unknown
October 31, 2025Hi there very nice website!! Guy .. Excellent .. Amazing .. I will bookmark your web site and take the feeds also? I'm satisfied to find a lot of useful information right here in the publish, we want work out extra strategies on this regard, thanks for sharing. . . . . .