Meet Whipple disease, the mysterious and super rare infection caused by Tropheryma Whipplei - a bacterium so uncommon that most pathologists meet it only once (and then brag about it forever π€π€π€).
It loves your small intestine, causing malabsorption, weight loss, diarrhoea and arthritis, and occasionally takes a joyride to the brain - talk about overachieving! π§ π§
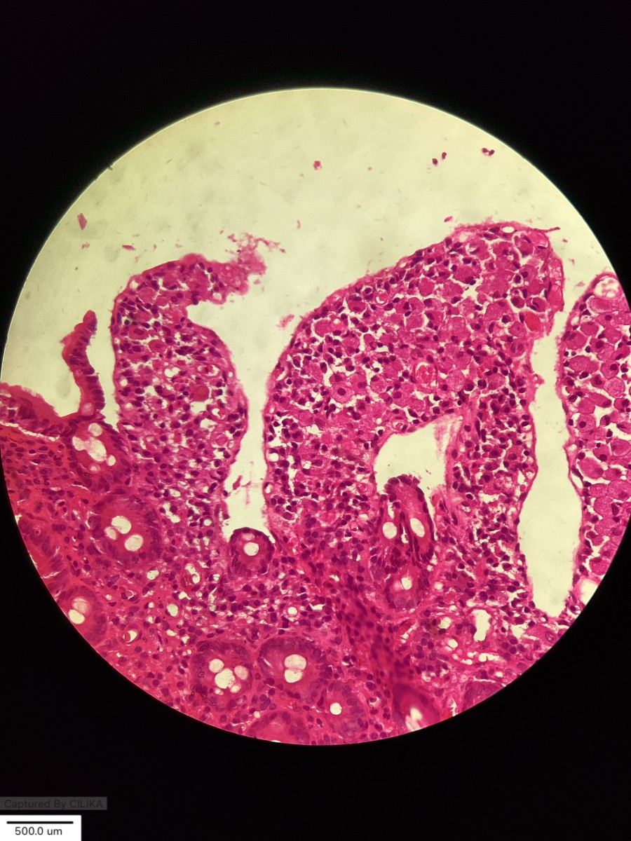
Under the microscope, itβs PAS-positive foamy macrophages fiesta - looks like someone splattered strawberry jam all over the laminate propria. ππ
π‘Pro tip : Needs antibiotics, not a scalpel -
ππ» Donβt confuse this rare bug with the Whipple procedure, unless you want your surgeon giving you βthatββlook! π
Classic Junior resident moment: is this Whipple disease or do we call the surgeon for a Whipple procedure ? Senior : β Only if the bacteria are applying for PG surgery!βππππ

Comments (0)